Fucoidan Fucoidan Research Health Benefit of Fucoidan

Wheat peptides and fucoidan reduce gastric damage from alcohol and stress.

March 23, 2026

The presence of Helicobacter pylori, in conjunction with the use of nonsteroidal anti-inflammatory drugs (NSAIDs), possesses the potential to instigate the formation of gastritis, peptic ulcers, and, in severe cases, even gastric cancer. The excessive consumption of alcohol is known to trigger a range of gastric problems, such as mucosal edema, congestion, bleeding, epithelial desquamation, and inflammatory cell infiltration, which can ultimately develop into gastric ulcers.

Wheat peptides possess antioxidant activity. Research suggests that giving wheat peptides to rats may safeguard their small intestines from NSAID-induced harm by mitigating oxidative stress. Fucoidan, a sulfated polysaccharide mainly derived from brown and marine algae, exhibits anti-inflammatory characteristics. This blog post will present findings from a new study, “A Novel Combination of Wheat Peptides and Fucoidan Attenuates Ethanol-Induced Gastric Mucosal Damage through Anti-Oxidant, Anti-Inflammatory, and Pro-Survival Mechanisms,” authored by Juntao Kan and colleagues. The research focuses on a novel combination of wheat peptides and fucoidan (WPF).

Initially, ethanol given orally caused damage to the stomach lining, which led to a higher ulcer index. The study found that wheat peptides and fucoidan (WPF) protected against ethanol-induced mucosal damage, reducing the ulcer index relative to the control group. Low-dose WPF demonstrated a superior protective effect compared to fucoidan alone. Therefore, WPF demonstrated a dose-dependent reversal of ethanol-induced gastric mucosal damage, with positive impacts on both the ulcer and pathology indices.

Histological examination utilizing Hematoxylin and Eosin (H&E) staining revealed that the administration of ethanol resulted in significant congestion and the formation of hemorrhagic erosions within the gastric tissue, in addition to inducing degeneration and subsequent necrosis of the epithelial cells lining the mucosa. Low-, medium-, and high-dose WPF significantly reduced pathological indices. Low-dose WPF demonstrated a superior protective effect compared to fucoidan or wheat peptides alone. Histopathological data were consistent with macroscopic results (ulcer index).

A significant increase in malondialdehyde (MDA), an indicator of oxidative stress, was evident in the model group’s antioxidant effect. This suggests that high oxidative stress is induced during gastric mucosal injury. WPF administration-maintained MDA at normal levels. Similarly, WPF increased the level of SOD, an antioxidant enzyme. This resulted in WPF increasing superoxide dismutase (SOD) and decreasing malondialdehyde (MDF).

The research indicates that the administration of ethanol played a significant role in stimulating the secretion of IL-8; however, this effect was notably counteracted by the introduction of WPF, as demonstrated in Figure 1A. Administration of WPF also led to the inhibition of PAF, a mediator of allergic and inflammatory responses, as shown in Figure 1B.

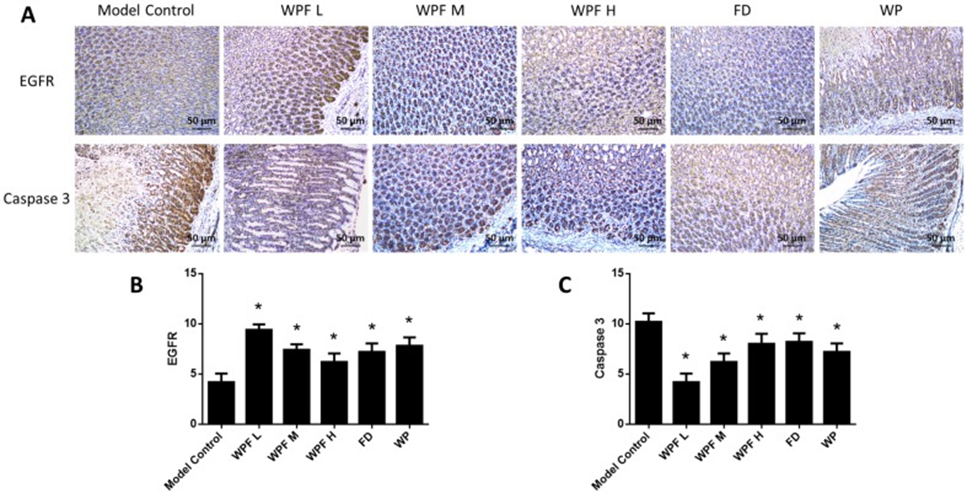
The secretion of PGE2 and EGF, which are crucial for protecting the stomach lining, was markedly reduced in a gastric mucosal injury model. However, WPF stimulated the production of both PGE2 and EGF and enhanced cell survival (see Figure 2C, D). Furthermore, semiquantitative immunohistochemical analysis of gastric tissue revealed that WPF administration also induced EGFR expression (see Figure 2A, B) and reduced the expression of the apoptosis-inducing factor caspase-3 (see Figure 2A, C), suggesting the pro-survival effect of this formulation.

WPF led to a decrease in interleukin-8, platelet-activating factor, and caspase-3, while simultaneously increasing prostaglandin E-2, epidermal growth factor (EGF), and EGF receptor (EGFR).

Next, they treated GES-1 cells with WPF to investigate the molecular mechanisms underlying this effect. According to Figure 3, WPF’s impact was on the phosphorylation of EGFR and ERK, not their protein expression, which remained unchanged. This suggests that the EGFR-ERK pathway may be involved in the pro-survival effect of WPF.

The results, viewed as a whole, showcase the protective capabilities of a newly developed mixture of wheat peptides and fucoidan in a rat model experiencing ethanol-induced damage to the gastric lining, uncovering the antioxidant, anti-inflammatory, and pro-survival mechanisms of WPF. This research could present a new, safe approach to stopping the formation of stomach lining damage.

Figure 1) Anti-inflammation and pro-survival effects of WPF.
Figure 2) Pro-survival effect of the WPF.
Figure 3) WPF-induced activation of the EGFR-ERK pathway.

Source: Nutrients. 2017 Sep 6;9(9):978. doi: 10.3390/nu9090978